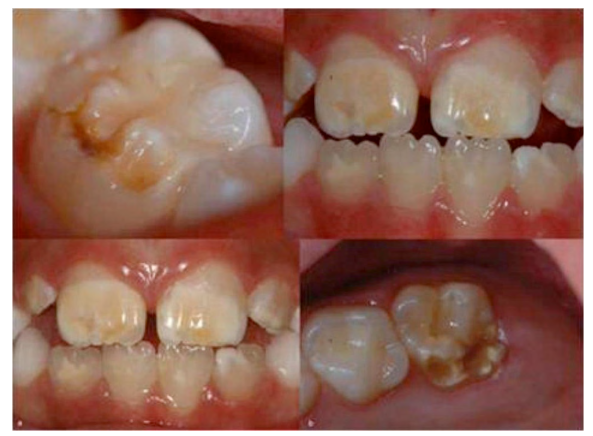
Hagin-ebakortzen hipomineralizazioa (MIH) hortzei, bereziki haginei eta ebakitzaileei, eragiten dien patologia bat da. MIHak esmaltearen akatsa eragiteaz gain, hortzen sentikortasuna handitu, mina sortu eta batzuetan txantxar azkarra ere eragiten ditu. MIHa orban zuri dekoloratua, opakua edo epela bezala ager daiteke, gainera, substantzia beroak edo hotzak jatean edota edatean sentsibilitatea eta mina ere sor dezake. MIHko lesioek pazienteengan eragin psikologia eta emozionala ere sortu dezaketela kontuan izan behar da.
Orain dela gutxi egindako bi ikerketek munduko MIHren prebalentzia aztertu zuten. Biek antzeko batez besteko prebalentzia orokorra erakutsi zuten; lehena, % 14,2koa (% 8,1–21,1) eta bigarrena % 12,9 (11,7–14,3). Estatu espainiarrean, MIHren prebalentzia % 20,7koa da 12 urteko ikasleen artean (% 14.3 kasu arinak dira eta % 6.4 neurrizkoak edo larriak). Azken urteetan MIHren miaketak egiteko metodologia estandarizatu da, horrek konparazioak egiteko eta etorkizunean ikerketa hobeak egiteko aukera eman du.

Gaur egun MIHaren kausa zehatza ez da ezagutzen, baina lehen haurtzaroko faktoreekin erlazionatu dagoela uste da. Literatura zientifikoan ingurumen- toxinekin, infekzioekin edo desnutrizioarekin erlazionatu da, besteak beste. Zalantzatik gabe, genetika arloan emango diren aurrerapenak izan ahal dira etorkizunean patologia hau ulertzeko giltza.
MIHa aurreikustea ezinbestekoa da. Hiru arrazoi nagusi direla eta:
- Gurasoei informazioa eskaintzeko, gure lehenengo detekzio-lerroa baitira.
- Susmoak izanez gero, erne egoteko eta kontrol egokiagoa egin ahal izateko.
- Ahalik eta azkarren MIHaren diagnostikoa egiteko eta hasiera-hasieratik tratamendu terapeutiko egokia egiteko. Hau garrantzitsua da, denborarekin gertatzen diren lesioak eta horien ondorioak larriagotu ez daitezen. Lehen haurtzaroan egindako lehenengo bisitan erne egon behar gara, diagnostikoa ahalik eta azkarren egiteko eta hasieratik tratamendu terapeutiko egokia ezartzeko.
Artikulu honetan Europako Odontopediatria elkarlegoak ematen dituen irizpide diagnostikoak aurkeztuko dira. Erakundeak zeinu kliniko espezifikoen eta sintomen erabileraren garrantzia azpimarratzen du. Ahoaren erradiografiak ere lagungarriak izan ahal dira diagnostikoarekin laguntzeko.
Tratamenduari dagokionez, ezinbestekoa da aurreko hortzeko eta atzeko haginen arteko prozedurak bereiztea. MIHren tratamendua oso konplexua da eta pazienteak aurkeztu dituen lesioen arabera guztiz ezberdina da. Beraz, argi geratu behar da ez dagoela egoera guztietarako erabiliko dugun tratamendua ezagutzen.
Konpositeekin egindako zaharberritzeak, aurrez-aurretik prestatutako koroak eta laborategian egindako errestaurazioak arrakastatsuak dira atzoko haginetan. Kasu larrietan erauzketak ere egin ahal dira. Aurreko hortzetan, berriz, mikroabrasioak, erretxinen infiltrazioa, kanpoko zuritzea edo konposite errestaurazioak egin ahal dira pazientearen beharren arabera.
MIHaren lesioak tratatzeaz gain, askotan sortarazten duen hipersentikortasuna ere tratu behar da. Arazo honetarako tratamendu asko deskribatu dira: fosfopeptido-amorfoarekin eta fosfopetiptido kaltzikoarekin tratatzea, ozonoarekin, laserrarekin, etb. Berriki egindako ikerketa batean tratamendu ezberdinak konparatu ziren, azterlan guztiek tratamendu osteko murrizketa bat erakutsi zuten, baina esku-hartze horietako bat ere ezin da gomendatu.
Artikuluaren fitxa:
- Aldizkaria: Ekaia
- Zenbakia: 47
- Artikuluaren izena: Farmazia komunitarioaren eta lehen mailako arretaren integrazioa Euskal Herrian: Aliantza estrategiko ba.
- Laburpena: Gaur egun, osasun-sistemek erronka konplexuei egin behar diete aurre, hala nola krisi sanitario globalei, presio ekonomiko eta sozialei, edo arreta sanitarioaren eskaeraren etengabeko handipenari. Lehen mailako osasun-arreta funtsezkoa da erronka horiei aurre egiteko, baina osasun-arretaren zenbait zerbitzutan dagoen fragmentazioak zaildu egiten du koordinazio asistentziala. Osasun-arretaren integrazioa erronka hauei aurre egiteko estrategia gisa aurkezten da, osasun-sistemaren kalitatea eta eraginkortasuna hobetuko bailituzke. Testuinguru honetan, farmazia komunitarioa lehen mailako arreta indartzeko eta pazientearen koordinazio asistentziala hobetzeko gai den baliabide baliotsua izan daiteke. Herritarrengandik hurbil eta eskuragarri kokatuta dagoenez, farmaziak funtsezko zeregina izan dezake osasunaren sustapenean, gaixotasunaren prebentzioan, osasun-arazoen detekzioan, gaixotasun kronikoen kudeaketan eta osasun-sistemetan erabilgarri dauden baliabideen optimizazioan. Farmaziak ikuspegi asistentzialago baterantz izan duen bilakaerak azpimarratu egitren du lehen mailako arretan ekarpen nabarmena egiteko duen ahalmena, sendagaiak emateaz haraindiko zerbitzu sorta zabala eskaintzen baitu. Gainera, farmazialariek sendagaien inguruko prestakuntza zabala dute; beraz, lehen mailako arretarekin modu eraginkorrean integratuz, farmazia komunitarioek pazientearen osasun-arreta hobea eskaintzen lagundu dezakete, eta horrek aukera ematen du tratamendu-erregimenak optimizatzeko, tratamendu farmakologikoekiko atxikipena hobetzeko, alferrikako bisita medikoekin lotutako kostuak murrizteko eta osasun emaitza hobeak lortzeko. Hala ere, farmazia komunitarioa eta lehen mailako osasun-arreta integratzeko, beharrezkoa izango da jarduera-protokolo bateratuak ezartzea, rol argiak definitzea eta inplikatutako eragile guztien parte hartze aktiboa bermatzea. Integrazioa lortzeko, ezinbestekoa da gaur egun dauden oztopo kulturalak gainditzea, farmazia komunitarioak pazienteari zuzendutako osasun-arreta integrala hobetzen lagun dezan bere asistentzia-gaitasuna baliatuz. Artikulu honen bidez, eztabaida piztu nahi da komunitate zientifikoan farmazia komunitarioa osasun-sisteman integratzeko beharrari eta aukerari buruz.
- Egilea: Jon Fernández-Bonet
- Argitaletxea: EHUko argitalpen zerbitzua
- ISSN: 0214-9001
- eISSN: 2444-3255
- Orrialdeak: 145-164
- DOI: 10.1387/ekaia.25761
Egileez:
Jon Fernández-Bonet EHUko Medikuntza eta Erizaintza Fakultateko Estomatologia Saileko ikertzailea da.
Ekaia aldizkariarekin lankidetzan egindako atala.
